Skip Menu
Continue
  • 1900 Ave G NW,
  • Suite A,
  • Childress, TX 79201
  • Home
  • About Us
    • Our Office
    • New Patients
    • Smile Gallery
    • Dental Videos
    • Testimonials
  • Our Doctor
    • Kevin G. Keys, DDS
  • Our Team
  • Technology
    • Digital Impressions
    • Digital Radiography
    • Laser Dentistry
  • Services
      • Ceramic Crowns
      • ClearCorrect®
      • Dental Bridges
      • Dental Fillings
      • Dentures
      • Emergency Treatment
      • Extractions
      • Implant Dentistry
      • Night Guards
      • Oral Cancer Screening
      • Pediatric Dentistry
      • Periodontal Treatment
      • Root Canals
      • Scaling & Root Planing
      • Sedation Dentistry
      • Sports Mouthguards
      • Teeth Whitening
      • Veneers
    • View All
  • Dental Health
  • Contact
    • Contact Us
    • Request Appointment

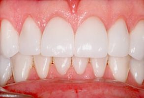
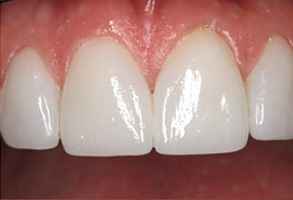
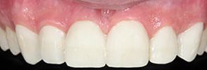
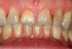
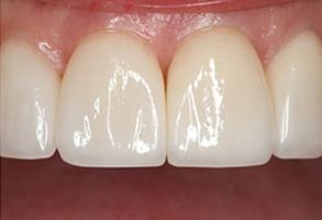
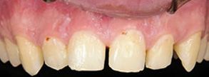
Smile Gallery

Additional Information

Our Location

1900 Ave G NW
Suite A
Childress, TX 79201
(940) 937-0800

Follow Us